top of page
广东省第二人民医院胸壁外科研究院

19岁继发性鸡胸患者的手术治疗
患者病史
患者是一名19岁的成年男性,9岁时曾因先天性心脏病接 受手术。在手术的过程中,需要从正中劈开患者的胸骨以做切口,导致其胸壁结构的完整性和稳定性遭到破坏。同时,由于缝合切口时胸壁没有得到妥善的固定,使得患者在术后一年便患上一种继发性的胸廓畸形,即胸廓向前凸起。并且随着时间的推移,凸起变得越来越严重,甚至在术后第8年,患者开始出现呼吸不适的症状。
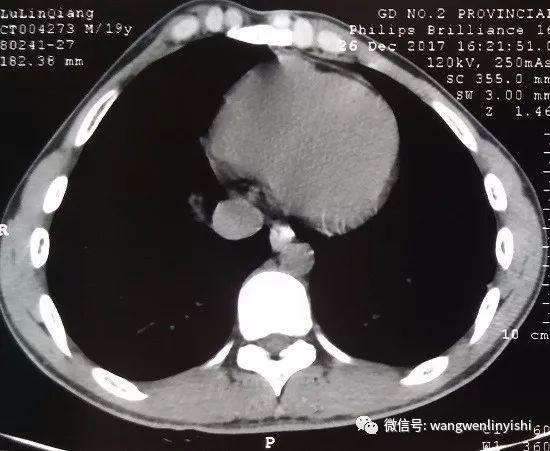
术前检查
胸壁存在大面积的严重凸起,凸起左右对称,主要位于胸壁的上半部分,下半部分胸壁的两侧还同时存在轻度凹陷。
手术情况
首先,在胸壁两侧各做两个3厘米长的小切口,再沿着胸壁正中的旧手术疤痕做一个2cm的切口。接着,将两条钢板放在凸起的胸壁骨性结构表面以完成Wenlin手术。之后,在胸腔内置入第三条钢板完成Wung手术以顶起凹陷(由于胸壁是一个结构非常坚硬的整体,当矫正胸壁上部的凸起并对其进行压迫时,其下方往往会出现继发性的凹陷)。最终,患者的胸壁畸形消失,手术取得圆满成功。
相关照片
虽然鸡胸也可以通过Ravitch手术进行矫正,但该术式不仅损伤较大,且矫正效果也不够理想,因此许多患者对此种手术方式较为抗拒。为了寻求一种更为理想的手术方式,我们在反复的实践中设计并提出了一种针对鸡胸治疗的新术式——Wenlin手术。除了鸡胸,该术式也能很好地矫正各类以凸起畸形为主的胸廓畸形,如:Wenlin胸、桶状胸以及合并凸起的复合型畸形等。
由于此患者的胸壁前突严重,且伴有轻微的凹陷畸形,为了达到更好的矫正效果,我们还会在Wenlin手术的基础上额外实施Wung手术,使得凹陷畸形也同时得到矫正。
bottom of page











